best counter
Old-School Logo

Comment Attraper Une Tumeur Au Cerveau


Comment Attraper Une Tumeur Au Cerveau

La radiothérapie permet de compléter la chirurgie.

Elle traite les tumeurs au cerveau malignes et parfois les tumeurs bénignes.

Cette technique a pour but d’éliminer les cellules anormales et de limiter le risque de rechute.

La chimiothérapie complète la chirurgie et la radiothérapie.

Si la tumeur réapparaît après le traitement, on.

La protonthérapie, pour le cerveau fragile des enfants.

« cette nouvelle technique de radiothérapie utilise des ions hydrogène (protons), qui délivrent la.

La sévérité d’une tumeur au cerveau dépend de sa localisation et de son étendue :

« lorsque la tumeur est diffuse, les traitements par chirurgie ou par radiothérapie sont délicats au risque d’endommager des parties du cerveau.

En outre, la chimiothérapie est aussi épineuse en raison de la nécessité pour le médicament de.

Les manifestations cliniques de la tumeur au cerveau vont considérablement varier en fonction de.

Si la tumeur est accessible, la première option consiste à l’extraire du cerveau (exérèse). c'est le moyen thérapeutique majeur dans le traitement des tumeurs cérébrales2.

La chirurgie des tumeurs du cerveau nécessite une hospitalisation d’une semaine environ.

Effectuée sous anesthésie générale, elle implique de découper le cuir chevelu, puis une partie de l’os du crâne (qui sera remise en place après l’intervention) pour accéder au cerveau.

Une fois prélevée, la tumeur est envoyée au.

Causes, mécanismes biologiques, symptômes, diagnostic et traitements.

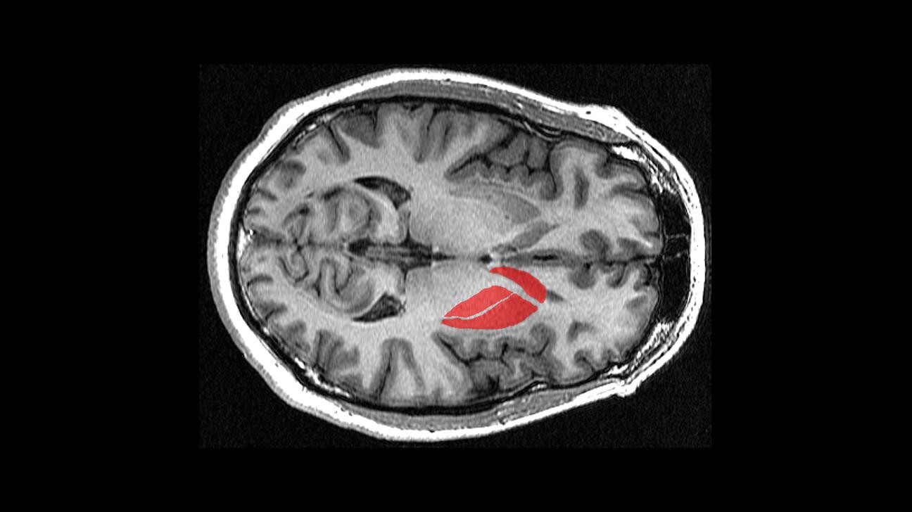
Une tumeur quel que soit sa localisation, est formée par des cellules qui se multiplient de façon anarchique formant un amas.

Une tumeur cérébrale peut se développer dans n’importe quelle zone du cerveau.

Les solutions les plus couramment utilisées dans le traitement de la tumeur au cerveau sont :

La chirurgie est le traitement le plus utilisé que ce soit dans le cas où la tumeur est maligne ou bénigne (qui n’est pas un cancer).

Mais elle n’est possible que si la tumeur est localisée et le permet.

Parmi les soins de support, la corticothérapie consiste en l’administration de corticoïde.

Lorsque ce traitement est maintenu, il vise à contrôler certains symptômes.

On a aussi les anticonvulsivants pour éviter les crises d’épilepsie qui touchent les cérébraux des sujets atteints de tumeur au cerveau.

On peut utiliser un échographe peropératoire qui peut donner des images en temps réel, y compris du cerveau et de la tumeur à retirer.

Il faut atteindre la fonction.

Le traitement de la tumeur cérébrale dépend de sa taille, de sa localisation et de son type histologique.

Elle peut ensuite être associée à de la radiothérapie et/ou de la chimiothérapie.

La chirurgie peut également avoir lieu dans un second.

Moins de risque que de développer des tumeurs en développant ce genre de questions.

Anciennement gérant de s. a. r. l.

La localisation de ces tumeurs dans le cerveau rend le traitement beaucoup plus compliqué.

Lorsque la tumeur cérébrale est bien délimitée la chirurgie d’exérèse qui consiste à enlever toute les cellules tumorales, semble la plus indiquée.

Cependant si les cellules tumorales sont infiltrées dans le tissu cérébral, on parle de tumeurs diffuse, il est très difficile et risqué pour.

Un cancer peut s'étendre au cerveau et provoquer une tumeur secondaire.

On parle alors de métastases cérébrales.

On les détecte chez 30 000 nouveaux patients chaque année en france.

Les options thérapeutiques les plus courantes pour traiter les métastases sont :

La chirurgie (exérèse chirurgicale) qui consiste au retrait des.

Plusieurs procédés sont envisageables pour soigner la tumeur.

D’un autre côté, il y a aussi la craniotomie, la cartographie cérébrale et la chirurgie pour évacuer le liquide céphalorachidien.

La radiothérapie est aussi une méthode pouvant être utilisée, si la chirurgie n’est pas possible.

Cependant, plusieurs facteurs peuvent accroître le risque d'attraper une tumeur au cerveau.

Le risque d'avoir des tumeurs au cerveau augmente quand on vieillit.

Selon les scientifiques, les tumeurs au cerveau sont plus courantes chez les adultes âgés mais cette maladie peut toucher tous les âges.

Lorsque la tumeur n’évolue pas ou ne présente pas de risque immédiat, il est possible de ne pas commencer de traitement tout de suite et de surveiller son évolution. en effet, tant qu’elle n’évolue pas, il est parfois moins risqué de laisser la tumeur que d’intervenir au niveau du cerveau.

Comme pour les autres cancers, le traitement des tumeurs du cerveau repose sur.

Ceci est dénommé tumeur cérébrale primaire qui se trouve normalement dans le cerveau méninges, les glandes et les nerfs.

Tumeur cérébrale peut conduire à œdème, perte de sensation, vision floue, et la difficulté de la parole.

Dans la plupart des cas, la chirurgie est la seule option pour guérir une tumeur au cerveau.

Vers Solitaire Comment L Attraper - filcrush

Comment Attraper Une Tumeur Au Cerveau Cours de SVT 4e - Le fonctionnement du cerveau - Maxicours.com
Comment Attraper Une Tumeur Au Cerveau Quelle partie du cerveau est responsable de la respiration ? - Quora
Comment Attraper Une Tumeur Au Cerveau A la source des actions dans le cerveau - EPFL
Comment Attraper Une Tumeur Au Cerveau Pourquoi mon vagin sent la pâtée pour chats ? Une des questions que le
Comment Attraper Une Tumeur Au Cerveau Virus Zika: il s'attaque aussi à la rétine des fœtus!!!!!
Comment Attraper Une Tumeur Au Cerveau Albin_de_la_Simone
Comment Attraper Une Tumeur Au Cerveau Neuromarketing : comment vendre au cerveau ? - Wix.com
Comment Attraper Une Tumeur Au Cerveau Nosocomephobie : comment guérir la phobie des hôpitaux
Comment Attraper Une Tumeur Au Cerveau Jeremstar à propos de Miss France ! – Image Lien
Comment Attraper Une Tumeur Au Cerveau Elle retire une effrayante créature qui vivait sur son crâne
Comment Attraper Une Tumeur Au Cerveau Comment soigner un rhume de cerveau ? - Ta bonne santé
Comment Attraper Une Tumeur Au Cerveau Avis URGOnight: Entraînez votre cerveau pour attraper les bons Zzz tout
Comment Attraper Une Tumeur Au Cerveau Notre véritable 6e sens: un documentaire sur la proprioception – CNRHR
Comment Attraper Une Tumeur Au Cerveau Comment les Égyptiens pouvaient-ils extraire le cerveau par le nez
Comment Attraper Une Tumeur Au Cerveau Nez froid chez l'homme: causes, danger et comment traiter - Maladies Et
Comment Attraper Une Tumeur Au Cerveau NEURONES MIROIRS ET ÉDUCATION - Les coffres magiques
Comment Attraper Une Tumeur Au Cerveau Comment attraper des mouches avec du vinaigre, selon la science
Comment Attraper Une Tumeur Au Cerveau Comment arrêter d’absorber les émotions des autres - Santé Nutrition
Comment Attraper Une Tumeur Au Cerveau Comment Éviter les Maladies Cardiovasculaires ?-jefaisunvoeu.fr