best counter
Old-School Logo

Kość Ogonowa Zęby Mądrości U Człowieka To


Kość Ogonowa Zęby Mądrości U Człowieka To

Narządy szczątkowe człowieka 2.1. Zęby mądrości. Zęby mądrości (ósemki) ... Obecnie kość ogonowa to element kręgosłupa, przytwierdzony do więzadeł, ścięgien i.

Wybierz z listy i zapisz nazwy wszystkich narządów szczątkowych człowieka:pęcherzyk żółciowy, trzecia powieka tzw. migotka, kowadełko, kość ogonowa, zęby mądrości,.

Kość Ogonowa Zęby Mądrości U Człowieka To. Obecnie kość ogonowa to element kręgosłupa, przytwierdzony do więzadeł, ścięgien i mięśni. Obecność narządów.

Może stać się to problemem, kiedy dana osoba jest po terapii ortodontycznej. Jednak nie ma obecnie badań potwierdzających, że zęby mądrości powodują znaczne.

Skamieniałości: Odciski, Odlewy, Owad w bursztynie, Kości i szkielety, Tropy, Zmumifikowane szczątki, Ślady działalności zwierząt, Formy pośrednie: Archeopteryx,.

Szczątkowe narządy - narządy, będące w zaniku, nie są przez nie pełnione żadne funkcje dla życia, u innych pokrewnych gatunków z kolei są rozwinięte normalnie, stanowią.

A. Zęby mądrości u człowieka F. Podobieństwo składu chemicznego organizmów B. Odcisk paproci G. Struktury homologiczne C. Rozmieszczenie.

U naczelnych i ludzi ta część ciała jest nieobecna: podczas rozwoju wewnątrzmacicznego zmniejsza się ona do kilku przerośniętych kręgów, lepiej znanych.

Zęby mądrości to ostatnie zęby trzonowe po obu stronach szczęk. Zazwyczaj pojawiają się one lub rosną jako ostatnie, zwykle w wieku od 16 do 20 roku życia. Ze względu na to, że.

Jak już wspominaliśmy, jest grupa stomatologów, która uważa, że zęby mądrości najlepiej prewencyjnie usunąć od razu po ich pojawieniu się. Argument.

W przypadku ósemek jest zupełnie inaczej. Pojawiać się one bowiem mogą dopiero po 17-18 roku życia. Zdecydowanie najczęściej wyrastają one u ludzi dopiero w.

Kość ogonowa zęby mądrości u człowieka to. Piotr paweł ania i hania zbierali jagody welcome to the website questions and answers.blog, articles about zapisz obwody.

Kość Ogonowa Zęby Mądrości U Człowieka To. Zęby mądrości, kość ogonowa i mięśnie poruszające małżowiną uszną. Wyjaśnij, dlaczego podane cechy.

Kość ogonowa – inaczej kość guziczna. Jest to końcowy odcinek kręgosłupa u człowieka, który złożony jest z trzech do pięciu zrośniętych ze sobą kręgów. Największy z.

a) delfin b) łodzik c) latimeria d) goryl e) kolczatka f) amonit 10) Kość ogonowa i zęby mądrości są u człowieka a) homologicznymi b) analogicznymi c) szczątkowymi 11).

Narządami szczątkowymi człowieka są: zęby mądrości, kość ogonowa i mięśnie poruszające małżowiną uszną. Wyjaśnij, dlaczego podane cechy zanikają w.

Narządy szczątkowe u człowieka Zęby mądrości Jest to określenie trzecich zębów trzonowych u człowieka. Kość ogonowa Końcowy odcinek kręgosłupa człowieka,.

Kość ogonowa zwana jest też kością guziczną. Nie bierze udziału w dźwiganiu ciężaru tułowia. Nie pełni ona w organizmie żadnej funkcji, a jej uraz może być.

A. Struktury homologiczne F. Dziobak B. Zęby mądrości u człowieka G. Owad uwięziony w bursztynieZaznacz przykłady bezpośrednich dowodów ewolucji. A. Zęby mądrości u.

U człowieka narządami szczątkowymi są np. kość ogonowa, zęby mądrości, wyrostek robaczkowy. Obecność narządów szczątkowych byłaby niewytłumaczalna, gdyby.

Podkreśl Nazwy Narządów Szczątkowych Człowieka. Ponad 150 lat temu karol darwin przedstawił swój pogląd na temat struktur w ludzkim organizmie, które.

Kość Ogonowa Zęby Mądrości U Człowieka To. Zęby mądrości, kość ogonowa i mięśnie poruszające małżowiną uszną. Wyjaśnij, dlaczego podane cechy zanikają w populacji ludzkiej. 5 części ciała, które pozostawiła nam ewolucja, a już ich nie.

Kość ogonowa zęby mądrości u człowieka to. Piotr , pawel ania i hania zbierali jagody pawel zebral polowe tego co zebral piotr.ania o 1 litr jagod wiecej niz zebral piotr..

Narządami szczątkowymi człowieka są: zęby mądrości, kość ogonowa i mięśnie poruszające małżowiną uszną. Wyjaśnij, dlaczego podane cechy zanikają w populacji.

kciuk, kość ogonowa, nagłośnia, zęby mądrości, ślimak, wyrostek robaczkowy 2.Przyporządkuj dowodom ewolucji (A-D) odpowiednie przykłady (1-5). ...

A. kość ogonowa i zęby mądrości są u człowieka narządami szczątkowymi B. człowiek należy do gromady ssaków C. Liczne rasy bydła domowego są efektem działania doboru.

Zęby mądrości to ostatnie i najdalej ku tyłowi położone zęby w łuku zębowym. Wyrzynają się u nas jako ostatnie wieku miedzy 18 a 22 rokiem życia, ale przeważnie.

Kość ogonowa - urazy a ciąża. 1. Kość ogonowa - anatomia. Kość ogonowa (inaczej określana jako kość guziczna) to końcowy odcinek kręgosłupa. Jest.

U człowieka kość ogonowa nie spełnia funkcji dźwigania ciężaru ciała, ale tak jak inne elementy kręgosłupa jest podatna na wszelkiego rodzaju urazy. Ból w.

Kość ogonowa − po co ona człowiekowi? Kość ogonowa usytuowana jest w końcowym odcinku kręgosłupa. Nazywana jest zarówno kością ogonową (ze względu na to, że u.

zęby mądrości - Altima Dental

Kość Ogonowa Zęby Mądrości U Człowieka To Zęby mądrości - co warto o nich wiedzieć?
Kość Ogonowa Zęby Mądrości U Człowieka To Stomatolog dziecięcy Kraków, stomatologia dziecięca Kraków - Cichoń
Kość Ogonowa Zęby Mądrości U Człowieka To Zęby mądrości - DENTICA Stomatologia kompleksowa obsługa dentystyczna
Kość Ogonowa Zęby Mądrości U Człowieka To Złamanie kości ogonowej - PoradnikZdrowie.pl
Kość Ogonowa Zęby Mądrości U Człowieka To ANATOM - Świat Modeli Anatomicznych - modele, pomoce, fantomy medyczne
Kość Ogonowa Zęby Mądrości U Człowieka To Koniec z plombami? Zęby zregenerują się same! – Crazy Nauka
Kość Ogonowa Zęby Mądrości U Człowieka To Części ciała, których człowiek w zasadzie nie potrzebuje
Kość Ogonowa Zęby Mądrości U Człowieka To Czy usunąć ząb mądrości - Świat dentysty
Kość Ogonowa Zęby Mądrości U Człowieka To Zęby - Portal Stomatologa
Kość Ogonowa Zęby Mądrości U Człowieka To Rodzaje zębów - Stomatolog Bydgoszcz - Blask Uśmiechu
Kość Ogonowa Zęby Mądrości U Człowieka To Kość ogonowa - złamana, pęknięta, stłuczona, anatomia, jak leczyć
Kość Ogonowa Zęby Mądrości U Człowieka To Wychodzące zęby mądrości – sposoby łagodzenia bólu
Kość Ogonowa Zęby Mądrości U Człowieka To Dlaczego usuwamy zęby mądrości - Stomatolog Bydgoszcz - Blask Uśmiechu
Kość Ogonowa Zęby Mądrości U Człowieka To Zęby mądrości - DENTICA Stomatologia kompleksowa obsługa dentystyczna
Kość Ogonowa Zęby Mądrości U Człowieka To SZYBKO NA JUTRO !!!!!!!Cały temat 36 Przyrodo Witaj, str 89,90 Wykonaj
Kość Ogonowa Zęby Mądrości U Człowieka To ząb mądrości - AMIDENT
Kość Ogonowa Zęby Mądrości U Człowieka To Budowa zęba - BJ medical
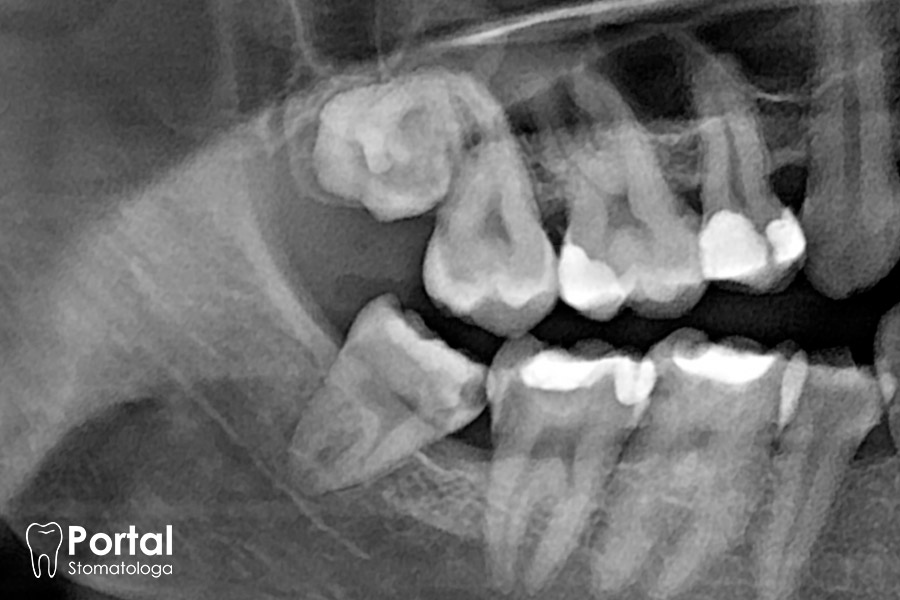
Kość Ogonowa Zęby Mądrości U Człowieka To Zęby mądrości - Portal Stomatologa
Kość Ogonowa Zęby Mądrości U Człowieka To Rysunek Obraz: Rysunek Zebow Czlowieka