best counter
Old-School Logo

Skutkiem Uszkodzenia Móżdżku Są Zaburzenia


Skutkiem Uszkodzenia Móżdżku Są Zaburzenia

Skutkiem Uszkodzenia Móżdżku Są Zaburzenia. Funkcje móżdżku polegają w dużym stopniu na. Skutkiem uszkodzenia móżdżku jest wystąpienie zespołu.

13) Skutkiem uszkodzenia móżdżku są zaburzenia: a) równowagi i koordynacji ruchów. b) pracy serca. c) oddychania. d) wzroku i słuchu. e) snu. 14) Zaznacz odpowiedzi, w których opisano.

Oto najczęściej spotykane problemy będące konsekwencją choroby mózgu, zaburzenia jego pracy lub uszkodzenia tego narządu: Upośledzenie pamięci. Niekiedy pojawia.

Udar móżdżku (zawał, niedokrwienie móżdżku) niedokrwienny lub krwotoczny to schorzenie rzadko spotykane. Zwykle przyczyną są tu zakrzepy. Objawy tej choroby móżdżku.

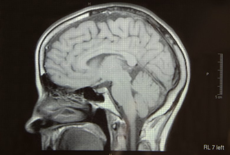
Móżdżek to struktura ośrodkowego układu nerwowego, która odpowiedzialna jest za koordynację ruchową i zachowanie równowagi ciała. Najnowsze badania sugerują, iż móżdżek.

Uszkodzenia pnia mózgu: przyczyny. Główną przyczyną uszkodzeń pnia mózgu są urazy głowy. Do takiego stanu doprowadzać mogą różne zdarzenia, zaburzenia czynności pnia mózgu pojawiać się mogą zarówno na skutek urazu, przez który dojdzie do złamania otwartego czaszki, jak i w związku z doświadczeniem przez pacjenta tępego ...

Móżdżek: choroby i objawy uszkodzenia móżdżku. Jak można się domyślić, zaburzenia czynności móżdżku przejawiają się przede wszystkim poprzez pojawianie się u.

Spośród podanych odpowiedzi wybierz poprawną. Skutkiem uszkodzenia móżdżku są zaburzenia: (1 punkt) równowagi i koordynacji ruchów pracy serca oddychania wzroku i słuchu snu 13Zaznacz odpowiedź w której wymieniono opony ochraniające mózgowie i rdzeń kręgowy od pokrywanego narządu do kości czaszki.

Dyzartrią określa się jeden z typów zaburzenia mowy, który związany jest z dysfunkcją aparatu wykonawczego – języka, podniebienia, gardła, krtani. Zaburzenie może być.

Gdy móżdżek nie działa z należytą precyzją mamy do czynienia z chorobą, którą nazwano zespołem móżdżkowym. Objawem choroby są zaburzenia chodu i równowagi,.

Jednym z strukturalnych uszkodzeń móżdżku jest malformacja Arnolda-Chiarego, która charakteryzuje się wklinowaniem tylniej zawartości czaszki (migdałków móżdżku) w otwór wielki (fornamen magnum). Objawy, jakie zgłaszają pacjenci to najczęściej są bóle głowy, porażenie.

uczenie się nowych ruchów, korygowanie postawy ciała, zapobieganie napięciom mięśni, zapewnianie płynności ruchów. Funkcje móżdżku polegają w dużym stopniu na.

Zaburzenia w tych sferach są skutkiem uszkodzenia móżdżku, dróg korowo-wzgórzowo-móżdżkowych oraz pośrednio tych właśnie struktur połączonych z móżdżkiem. Zarówno.

ropsychiatrycznych towarzyszących pacjentom z uszkodzeniem móżdżku, dzieląc je na pięć ogólnych kategorii: 1) zaburzenia uwagi, 2) zaburzenia kontroli emocjonalnej, 3) zaburzenia ze.

1.jakie skutki powodują uszkodzenia móżdżku? A. zaburzenia równowagi i koordynacji ruchów. B. zaburzenia pracy… Natychmiastowa odpowiedź na Twoje pytanie. ...

Dokończ zdanie. Spośród podanychodpowiedzi wybierz poprawną.(1 p.)Skutkiem uszkodzenia móżdżkusą zaburzeniaA. równowagi i koordynacji ruchów.B. pracy serca ...

Skutkiem Uszkodzenia Móżdżku Są Zaburzenia. Od roku przybliżam innym tajniki świata chemii. Móżdżek to część układu nerwowego, której głównym zadaniem jest.

🎓 A. Zaburzenia Odpowiedź na zadanie z Puls życia 2. Korepetytor. Od roku przybliżam innym tajniki świata chemii. Ponadto jestem pasjonatem azjatyckich sztuki walki oraz kina.

Znajdź odpowiedź na Twoje pytanie o 10 Dokończ zdanie. Spośród podanychodpowiedzi wybierz poprawną.(1 p.)Skutkiem uszkodzenia móżdżkusą zaburzeniaA..

1.jakie skutki powodują uszkodzenia móżdżku? A. zaburzenia równowagi i koordynacji ruchów. B. zaburzenia pracy serca . C.zaburzenia oddychania . D.zaburzenia wzroku i słuchu..

Skutkiem Uszkodzenia Móżdżku Są Zaburzenia. Od roku przybliżam innym tajniki świata chemii. Móżdżek to część układu nerwowego, której głównym zadaniem jest.

Móżdżek - budowa, funkcje, choroby i uszkodzenia. Konsultacja merytoryczna: Lek. Aleksandra Witkowska. Móżdżek jest największą częścią tyłomózgowia (waży około 150.

Badanie zborności ruchów to badanie ich koordynacji. Zaburzona zborność może być skutkiem uszkodzenia móżdżku, sznurów tylnych rdzenia kręgowego oraz układu przedsionkowego..

7 stycznia 2021. Zaburzenia mowy o podłożu neurologicznym są wynikiem uszkodzenia ośrodkowego lub obwodowego układu nerwowego. Aby uporządkować i.

Ataksja móżdżkowa jest rezultatem uszkodzenia struktury móżdżku. Objawy mogą być prezentowane w obrębie całego ciała lub tylko w jego części, np. po jednej stronie ciała. Charakterystyczne są wówczas drżenia oraz chód marynarski. Ataksja czuciowa. Ten rodzaj ataksji nie jest rezultatem bezpośredniego uszkodzenia móżdżku.

Medycyna wymienia też choroby móżdżku prowadzące do jego zwyrodnienia lub zaniku. Są to m.in. zanik kory móżdżku, zanik wieloukładowy i zanik oliwkowo-mostowo.

Zespół móżdżkowy (zespół cerebralny) jest chorobą neurologiczną, w której dochodzi do uszkodzenia struktury móżdżku. Charakterystycznymi dla tego zespołu objawami są: ataksja i zaburzenia chodu. Uszkodzenie móżdżku może być spowodowane przez różne czynniki, dlatego w klasyfikacji ICD-10 zespół móżdżkowy określany ...

3 Zaburzenia mowy mogą być skutkiem uszkodzenia:

Skutkiem Uszkodzenia Móżdżku Są Zaburzenia Zanik móżdżku - objawy, leczenie
Skutkiem Uszkodzenia Móżdżku Są Zaburzenia Zaburzenia mowy w uszkodzeniach mózgu 5-6-7 lipca 2019 Letnia Szkoła
Skutkiem Uszkodzenia Móżdżku Są Zaburzenia Rozwój duchowy i społeczny - Lalita Mohan Babaji i Bractwo Duchowe
Skutkiem Uszkodzenia Móżdżku Są Zaburzenia Mózg, umysł i zachowanie
Skutkiem Uszkodzenia Móżdżku Są Zaburzenia 10 największych mitów na temat mózgu. Czas je obalić - Dziennik.pl
Skutkiem Uszkodzenia Móżdżku Są Zaburzenia Rdzeń kręgowy: budowa, objawy i leczenie uszkodzenia - Zdrowie
Skutkiem Uszkodzenia Móżdżku Są Zaburzenia Móżdżek - za co odpowiada w organizmie? Czym jest udar móżdżku? | TVN
Skutkiem Uszkodzenia Móżdżku Są Zaburzenia PPT - ZAWROTY GŁOWY I ZABURZENIA RÓWNOWAGI PowerPoint Presentation
Skutkiem Uszkodzenia Móżdżku Są Zaburzenia Rehabilitacja po udarze - Udar Mózgu
Skutkiem Uszkodzenia Móżdżku Są Zaburzenia Zaburzenia osobowości - YouTube
Skutkiem Uszkodzenia Móżdżku Są Zaburzenia Zaburzenia funkcjonowania móżdżku - YouTube
Skutkiem Uszkodzenia Móżdżku Są Zaburzenia Choroby neurologiczne – Co to za choroby?
Skutkiem Uszkodzenia Móżdżku Są Zaburzenia PPT - ZAWROTY GŁOWY I ZABURZENIA RÓWNOWAGI PowerPoint Presentation - ID
Skutkiem Uszkodzenia Móżdżku Są Zaburzenia Mózg człowieka – jego budowa i funkcje – MedoVita.pl
Skutkiem Uszkodzenia Móżdżku Są Zaburzenia Stłuczenie mózgu | dr Alicja Czyrska | Neuropsycholog Warszawa
Skutkiem Uszkodzenia Móżdżku Są Zaburzenia Aż 20 proc. Polaków ma zaburzenia psychiczne. "Kobiety są płaczliwe
Skutkiem Uszkodzenia Móżdżku Są Zaburzenia Guzy móżdżku: przyczyny, objawy, leczenie - PoradnikZdrowie.pl
Skutkiem Uszkodzenia Móżdżku Są Zaburzenia Czym jest przewlekły stres - skutki uboczne fizyczne i psychiczne
Skutkiem Uszkodzenia Móżdżku Są Zaburzenia Uszkodzenia i zaburzenia w pracy móżdżku