best counter
Old-School Logo

Peut On Mourir D Un Pneumothorax


Peut On Mourir D Un Pneumothorax

Cette technique médicale a pour but d’accoler les deux plèvres afin d’éviter les pneumothorax.

On pourra également effectuer une abrasion pleurale au cours d’une thoracotomie (ouverture du thorax) ou d’une thoracoscopie (visualisation interne du thorax).

Le pneumothorax peut être spontané (son origine est alors inconnue), traumatique ou secondaire à une maladie pulmonaire.

Il se caractérise essentiellement par une.

Concernant les voyages aériens, la personne guérie d’un pneumothorax peut prendre un avion pressurisé dans un délai de 2 à 3 semaines.

Pour le personnel naviguant, une pleurodèse préventive est nécessaire dès le premier épisode de pneumothorax.

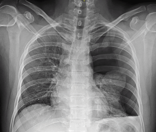
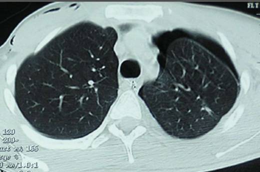
Le pneumothorax désigne un échappement d'air du poumon qui va entre le poumon et la paroi thoracique dans la plèvre (organe qui recouvre le poumon et l'intérieur de la cavité thoracique).

Il se traduit par un décollement de la plèvre et une compression du poumon entraînant des douleurs et des difficultés à respirer.

Dans le cas d’une petite ouverture, le pneumothorax peut se guérir spontanément.

L’air est alors progressivement résorbé par l’organisme.

Si la blessure interne ne se ferme pas et que l’air continue à s’infiltrer dans l’espace, on parle alors de pneumothorax compressif.

C'est tout à fait possible, en particulier pour un pneumothorax primaire.

Il est donc important d'arrêter de fumer et d'éviter d'exposer l'organisme à des changements brusques de pression, comme lors de la pratique de la plongée sous marine.

Mais il existe le pneumothorax secondaire, qui survient sur un poumon malade.

Ainsi, si une pneumonie apparaît en complication d’une maladie grave ou chez une personne âgée, elle peut être mortelle.

Dans de très rares cas, une pneumonie peut aussi être mortelle chez une personne en bonne.

En cas de pneumothorax, une sorte de poche d'air se forme entre le poumon et la plèvre, laquelle fait pression sur les poumons.

Cette bulle d'air se résorbe le plus souvent spontanément.

Mais parfois, la ventilation pulmonaire s'en.

Bien que le pneumothorax puisse toucher n’importe qui, les personnes qui sont grandes et minces ou qui fument sont plus susceptibles d’être atteintes de la maladie.

D’autre part, les maladies pulmonaires peuvent aussi augmenter de façon significative le risque d’affaissement pulmonaire.

La douleur et des signes respiratoires sont au premier plan.

Lorsque le pneumothorax est spontané, la douleur et les difficultés pour respirer sont au.

C'est tout à fait normal, lors d'une intervention le corps perd automatiquement de son énergie par le manque de vitamines et autres en plus de la faiblesse causée par la chirurgie, faudrait du temps pour compenser tout le déficit causé aprés un bon rétablissement !

Dans le cas de pneumothorax spontané de petite taille du sujet jeune et qui ne concerne que le sommet du poumon, le repos va être la seule recommandation.

Bonjour à toi, voila, j'ai fait un pneumothorax spontané du côté droit (en conduisant) au mois de septembre 2010.

Juste pour info, je mesure 1m73 pour 70kg, d'apres les dires des médecins je ne rentre pas non plus dans la morphologie du pneumo (.

S?miologie ?chographique d'un pneumothorax. Disparition du glissement

Peut On Mourir D Un Pneumothorax Pneumothorax : définition, symptômes, causes, traitement, de quoi s
Peut On Mourir D Un Pneumothorax Pneumothorax : définition, symptômes, causes et traitement
Peut On Mourir D Un Pneumothorax Pneumothorax spontané de l’adulte - Urgences-Online
Peut On Mourir D Un Pneumothorax Le pneumothorax - www.dralainpalem.be
Peut On Mourir D Un Pneumothorax pneumothorax - LAROUSSE
Peut On Mourir D Un Pneumothorax Pneumothorax: Causes, symptômes et traitement - FrMedBook
Peut On Mourir D Un Pneumothorax Pneumothorax Symptômes, causes et Traitement
Peut On Mourir D Un Pneumothorax sides:ref:reanimation:epanchement_pleuraux [Wiki-SIDES]
Peut On Mourir D Un Pneumothorax Pneumothorax spontané : la définition
Peut On Mourir D Un Pneumothorax Pneumothorax spontané de l’adulte - Urgences-Online
Peut On Mourir D Un Pneumothorax Traumatisme fermé du thorax/contusion myocardique - Urgences-Online
Peut On Mourir D Un Pneumothorax Pneumothorax; pneumothorax spontane