best counter
Old-School Logo

Une Tumeur Au Cerveau Peut Elle Disparaitre


Une Tumeur Au Cerveau Peut Elle Disparaitre

Les tumeurs les plus susceptibles de se propager au cerveau sont le cancer du sein, du poumon, de rein et du côlon.

La sévérité d’une tumeur au cerveau dépend de sa localisation et de son étendue :

« lorsque la tumeur est diffuse, les traitements par chirurgie ou par radiothérapie sont délicats au risque d’endommager des parties du cerveau.

L’ablation chirurgicale des tumeurs cancéreuses au niveau du cerveau est souvent risqué et très compliquée puisque les vaisseaux sanguins qui s’y trouvent sont sensibles.

Il se peut également que les tissus voisins soient déjà affectés même si le traitement chirurgical concerne le retirement des neurones touchés par la tumeur bénigne.

Enlever le plus possible de cerveau infiltré par la tumeur en préservant toutes les facultés du patient.

Une anesthésie générale lui est administrée le temps d’ouvrir sa boîte crânienne, c’est tout.

« le cerveau n’a pas de récepteurs de la douleur donc on peut opérer sans endormir, la personne n’a pas mal », explique le neurochirurgien.

La radiothérapie constitue la seconde option thérapeutique à la disposition des oncologues pour traiter les tumeurs cérébrales, bénignes ou malignes.

Si les causes réelles conduisant à la formation d’une masse au sein du cerveau ne sont pas avérées, différents facteurs de risques ont néanmoins été.

Oui tumeur au cerveau on peut en guérir, je viens de lire des témoignages.

Chaque cas est particulier,mais après opération,rayons,chimio,alors que l'on avait donné une espérance de vie de 6 mois ,ils vivent et la tumeur a bien été enlevée.

«les patients souffrant d’une tumeur au cerveau peuvent devenir déprimés, colériques ou anxieux, même si cela ne leur ressemble pas, note sumeet vadera, neurochirurgien à l’université de californie à irvine.

Les signes et symptômes généraux provoqués par une tumeur au cerveau peuvent être les suivants:

Après une operation d'une tumeur au cerveau.

Je suis la soeur d'une personne de 35 ans ayant subit une opération d'une tumeur au cerveau de bas grade, le neurolgue ne lui donné pas 3 mois à vvire, la tumeur de 7 cm n'a pas été retiré en totalité, l'opération s'est trés bien passé et elle n'a pas eu de séquelles, sauf que depuis.

Une crise d’épilepsie peut alors se déclencher.

Quels sont les symptômes d’alerte ?.

Une tumeur cérébrale bénigne peut être simplement surveillée radiologiquement ou être extirpée chirurgicalement complètement ou de façon partielle.

Les tumeurs cérébrales malignes définissent certaines tumeurs primaires ainsi que toutes les lésions cérébrales métastatiques.

Elles sont constituées de cellules qui se divisent relativement vite.

Tumeur cérébrale bénigne, quels traitements ?

Dès que cela est envisageable, l’option chirurgicale est privilégiée.

Les séquelles dues aux tumeurs du cerveau peuvent être temporaires ou définitives.

Leur impact sur la vie quotidienne est variable :

Trouble de l’élocution, altération des mouvements ou de la cognition… après l’annonce de la maladie après le diagnostic d’un cancer, les patients peuvent ressentir différentes émotions, parfois contradictoires.

Les tumeurs cérébrale gonflent et provoque un oedème céréblale, le cerveau ce retrouve comprimé dans la boite cranienne, et cela peu provoquer différents trouble, et cela peu aller au cour circuit.

Ce qui e j'ai eu, crise d'épilepsie.

La tumeur est peut être opérable, sinon ce sera le même circuit qu moi.

Je suis passé par toutes les étapes.

Une tumeur cérébrale peut se développer dans n’importe quelle zone du cerveau.

Les tumeurs primitives du cerveau représentent 1% des cancers et sont la 1ere cause de mortalité des pathologies tumorales.

Elles sont issues de cellules résidentes du cerveau.

» la tumeur inopérable au cerveau disparaît !

Maladies alzheimer arthrose asthme autisme autres avc / maladies cardiovasculaires cancer candida albicans diabète fibromyalgie grippe / rhume hypertension insomnie mal de dos maladie de la thyroïde maladie de lyme migraine mycoses ostéoporose parkinson psoriasis / eczéma sclérose en plaques

Épinglé sur Beauté - Soins - Santé

Une Tumeur Au Cerveau Peut Elle Disparaitre Une tumeur cérébrale retirée via une incision dans le sourcil en Inde
Une Tumeur Au Cerveau Peut Elle Disparaitre Cette IA peut détecter une tumeur au cerveau en deux minutes
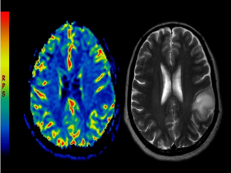
Une Tumeur Au Cerveau Peut Elle Disparaitre Où peuvent se loger les tumeurs du cerveau
Une Tumeur Au Cerveau Peut Elle Disparaitre Radiothérapie Pour Tumeur Au Cerveau
Une Tumeur Au Cerveau Peut Elle Disparaitre Sclérose en plaques : des mouvements de plus en plus raides
Une Tumeur Au Cerveau Peut Elle Disparaitre Symptomes Tumeur Cerveau - Tumeurs Du Cerveau Et De La Moelle Epiniere
Une Tumeur Au Cerveau Peut Elle Disparaitre Types, symptômes et traitement d'une tumeur cérébrale - FrMedBook
Une Tumeur Au Cerveau Peut Elle Disparaitre Perdre l'audition d'une oreille : un signe de tumeur bénigne au cerveau
Une Tumeur Au Cerveau Peut Elle Disparaitre Tous Contre Le Cancer: Les tumeurs cérébrales bénignes ou malignes
Une Tumeur Au Cerveau Peut Elle Disparaitre Une fillette atteinte d'une tumeur au cerveau guérit après que le Pape
Une Tumeur Au Cerveau Peut Elle Disparaitre Tumeurs cérébrales : Qu'est-ce que c'est
Une Tumeur Au Cerveau Peut Elle Disparaitre Peut-on vivre avec une tumeur bénigne au cerveau
Une Tumeur Au Cerveau Peut Elle Disparaitre Signe Tumeur Cerveau - Avc Quels Sont Les Signes D Un Accident
Une Tumeur Au Cerveau Peut Elle Disparaitre Tumeur au cerveau : les radiographies dentaires régulières incriminées
Une Tumeur Au Cerveau Peut Elle Disparaitre Tumeurs vasculaires: causes, symptômes, traitement et conséquences
Une Tumeur Au Cerveau Peut Elle Disparaitre Voici les causes et les traitements d'une tumeur cérébrale
Une Tumeur Au Cerveau Peut Elle Disparaitre Cancer du Cerveau Turquie, Prix & Cliniques
Une Tumeur Au Cerveau Peut Elle Disparaitre Cancer du Cerveau Turquie, Prix & Cliniques
Une Tumeur Au Cerveau Peut Elle Disparaitre Comment les tumeurs cérébrales peuvent causer des saignements et des